Nha khoa Sunny

Đồng hành cùng nụ cười tỏa nắng
Đăng ký tư vấn

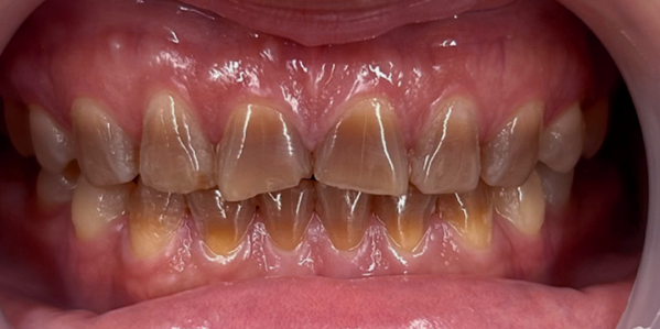
KHI NÀO BẠN CẦN BỌC RĂNG SỨ

Nụ cười – thước đo cảm xúc, thước đo của sự tự tin, nhưng một nụ cười với nhiều khuyết điểm lại làm bạn mất tự nhiên khi giao tiếp, bỏ lỡ nhiều mối quan hệ, ảnh hưởng đến cơ hội thành công, thậm chí gây cản trở vận mệnh phú quý khi xét theo nhân tướng học.

  • Răng thưa, không đồng đều làm giảm lực khi bạn nhai thức ăn và quan trọng nữa nó làm cho nụ cười của bạn không được đẹp.
  • Răng hô, lệch, sứt, mẻ, điều đó làm nét cười của bạn mất duyên
  • Răng bị ố vàng hoặc bị nhiễm màu do uống kháng sinh, do hút thuốc hoặc thói quan ăn uống không đảm bảo
  • Men răng của bạn bị lỗ chỗ, sâu răng khiến bạn không cảm thấy thoải mái khi nhai thức ăn, không tự nhiên khi cười.

Sức khỏe răng miền quan trọng?

Nụ cười – thước đo cảm xúc, thước đo của sự tự tin, nhưng một nụ cười với nhiều khuyết điểm lại làm bạn mất tự nhiên khi giao tiếp, bỏ lỡ nhiều mối quan hệ, ảnh hưởng đến cơ hội thành công, thậm chí gây cản trở vận mệnh phú quý khi xét theo nhân tướng học (khoa học Phương Đông).

Những nhược điểm về răng miệng bao lâu nay đã khiến bạn giấu đi nụ cười của mình.

Với phương pháp bọc răng sứ hiện đại, nhẹ nhàng của nha khoa Sunny sẽ khiến bạn thoát khỏi những nỗi lo trên.

Cần bác sỹ tư vấn

Before imageAfter image

Before imageAfter image

Hình ảnh trước và sau khi sử dụng dịch vụ

Hình ảnh trải nghiệm thực tế dịch vụ Bọc răng sứ – Trắng đẹp tự nhiên của khách hàng 

Dịch Vụ Của Chúng Tôi

Cạo vôi răng

Không đau an toàn cao

Xem chi tiết

Trám răng

Nhanh thẩm mỹ cao

Xem chi tiết

Trồng răng Implant

Nhanh và an toàn hiệu quả

Xem chi tiết

Nha khoa trẻ em

Nhẹ nhàng không đau

Xem chi tiết

Nhổ răng

Không đau nhanh lành thương

Xem chi tiết

Cười hở lợi

Không đau không tái phát

Xem chi tiết

Nhờ công nghệ tân tiến được Nha khoa Flora đầu tư kỹ lưỡng và tận tâm, chúng tôi tự tin mang đến cho bạn nụ cười tỏa sáng, đặc biệt là an toàn nhất cho sức khỏe răng miệng sau này.

Bọc răng sứ tại Nha Khoa Flora sẽ giúp bạn:

  • Cải thiện sức nhai
  • Răng bạn trông sẽ vô cùng đẹp
  • Loại bỏ khoảng cách
  • Giúp tiết kiệm chi phí điều trị nha khoa
  • Tránh các vấn đề nha khoa khác
Tôi cần bác sĩ tư vấn

Cảm nhận khách hàng

Nha khoa Suny làm răng cho mình rất hài lòng, nhờ có diện mạo mới mà mình thoải mái hơn trong giao tiếp, ăn nhai tốt, không biến chứng và sưng đau

Anh Đức Cử bọc 29 răng sứ DDBIO

Không biết các bạn khác thế nào chứ với mình thì nụ cười quan trọng lắm, không chỉ giúp tự tin hơn trong công việc, giao tiếp mà còn làm mình trở nên hạnh phúc hơn rất nhiều, tinh thần thoải mái làm cuộc sống ngày càng vui tươi, tích cực hơn.

Chị Hồng Hạnh bọc sứ 19 răng

Khi đến thăm khám thì tôi thấy rất vui khi được các bạn chào đón nhiệt tình, hướng dẫn và tư vấn cụ thể, được kiểm tra bằng máy móc, công nghệ hiện đại nên thấy thích và quyết định làm ở đây luôn.

Anh Phi Phàm bọc 20 răng sứ

Tại sao nên chọn chúng tôi

Những ưu việt chỉ có tại Sunny

NHẬN ƯU ĐÃI tới 50%
KHI ĐĂNG KÝ KHÁM TRONG TUẦN NÀY

Đăng ký khám ngay

Tư vấn cùng bác sĩ

Một cuộc hẹn tại Nha Khoa Sunny sẽ giải quyết được nhu cầu của Quý khách




    Nha Khoa Sunny

    Điểm đến tin cậy của khách hàng trong & ngoài nước

    100

    TRANG THIẾT BỊ

    Vô trùng tránh lây nhiễm chéo

    100

    NHÂN VIÊN

    Tay nghề cao giàu kinh nghiệm

    2.500

    KHÁCH HÀNG

    Cấy ghép Implant

    5.000

    CA

    Niềng răng trong suốt

    Câu hỏi thường gặp

    Nhổ răng khôn có đau không?

    Câu trả lời là không. Trước khi tiến hành, bạn sẽ được gây tê cục bộ. Sau đó, bác sĩ sẽ tiến hành tiến hành lấy răng và và khâu lại vết mổ bằng chỉ sinh học (chỉ tự tiêu). Toàn bộ quá trình diễn ra từ 10-20 phút mà bạn không hề cảm thấy đau đớn. Sau khi thuốc tê hết tác dụng, bạn sẽ cảm thấy hơi đau nhức do vết thương chưa lành. Tuy nhiên, tình trạng này sẽ chấm dứt sau 2-3 ngày.

    Nhổ răng khôn bao lâu thì lành?

    Thời gian trung bình để lành vết thương hoàn toàn là từ 7-10 ngày. Điều này còn tuỳ vào cơ địa của mỗi người mà thời gian lành thương có thể ngắn hoặc dài hơn.

    Nhổ răng khôn xong có cần kiên kỵ gì không?

    Không nên súc nước muối ngay sau khi nhổ răng.
    Nên ăn các loại thức ăn mềm, lỏng để tránh việc phải sử dụng lực nhai nhiều.
    Hạn chế đồ ăn cay nóng hay lạnh.
    Nếu có bất kì vấn đề nào phát sinh như máu chảy nhiều, đau nhức kéo dài, v.v. bạn nên đến phòng khám để kiểm tra.

    Trồng răng implant có đau không?

    Trước khi thực hiện, bác sĩ sẽ tiến hành gây mê hoặc gây tê cục bộ trong suốt quá trình phẫu thuật. Nhờ đó, bạn sẽ không hề cảm thấy đau nhức trong suốt quá trình trồng răng.